Morphological criteria for Pipistrellus pygmaeus kidney indicators
- Authors: Karpenko E.N.1, Kharlan A.L.1, Zaitseva E.V.1
-
Affiliations:
- Bryansk State University
- Issue: Vol 18, No 1 (2023)
- Pages: 59-70
- Section: Morphology and ontogenesis of animals
- URL: https://agrojournal.rudn.ru/agronomy/article/view/19865
- DOI: https://doi.org/10.22363/2312-797X-2023-18-1-59-70
- EDN: https://elibrary.ru/OZBUDW
- ID: 19865
Cite item
Full Text
Abstract
At present, there is scientific and practical interest in the study of morphological and physiological features, criteria and tolerance of organs involved in protein metabolism in representatives of the order Chiroptera. Macro- and micrometric indicators of kidneys in soprano pipistrelle (Pipistrellus pygmaeus), as a result of adaptive transformations of the body to habitat conditions in the Bryansk region were studied. The study was conducted in the period from 2011 to 2022, 40 captures were carried out with a total of 481 individuals, of which 100 were selected for further study. On histological preparations of kidneys of soprano pipistrelle (Pipistrellus pygmaeus), morphometry of nephrons, podocyte parameters, nuclear-cytoplasmic ratio, areas of nucleolar organizers and their total area were studied. It was established that biological adaptation of the bats (Chiroptera), on the example of soprano pipistrelle (Pipistrellus pygmaeus), is manifested in development of biological properties of the species. The functional and protein-synthetic activity of cells, kidneys (cell volume, nucleus, cytoplasm and nuclear-cytoplasmic ratio), the number and increase in the total area of the argentophilic region of nucleolar organizers were determined by organ topography, gender and influence of anthropogenic negative environmental effects. The data obtained showed gender differences in female bats (Chiroptera) of Pipistrellus pygmaeus species living in an urban environment, having a large number in the colony, against the background of a combined anthropogenic load, under the influence of hydrocarbons, sulfur and nitrogen dioxides and suspended solids. It was found that phenotypic adaptation as an adaptation to flight triggers the main processes of biochemical cycles, the processes of endogenous intoxication and detoxification function in kidneys. In turn, it increases metabolism, which contributes to increase in the number of renal glomeruli and decrease in the cavity of renal glomerular capsule. New data characterizing nuclear-cytoplasmic ratio, number and total area of regions of nucleolar organizers in podocytes of glomeruli in kidneys of soprano pipistrelle (Pipistrellus pygmaeus), which may be a manifestation of genetic adaptation to environmental conditions, were obtained.
Full Text
Table 1
Micrometric parameters of renal glomeruli and thickness of renal capsule in soprano pipistrelle
Sex | Colony | Renal glomerulus | Thickness of renal capsule, µm | ||
Length, µm | Width, µm | Area, µm2 | |||
Right kidney | |||||
Females | 1 colony | 0.204 ± 0.006* | 0.086 ± 0.005* | 0.051 ± 0.002* | 0.016 ± 0.009* |
2 colony | 0.216 ± 0.004* | 0.085 ± 0.005* | 0.049 ± 0.002* | 0.014 ± 0.006* | |
Males | 1 colony | 0.167 ± 0.002* | 0.078 ± 0.003 | 0.041 ± 0.003* | 0.008 ± 0.001 |
2 colony | 0.170 ± 0.002* | 0.080 ± 0.002 | 0.040 ± 0.003 | 0.008 ± 0.002 | |
Left kidney | |||||
Females | 1 colony | 0.189 ± 0.006* | 0.089 ± 0.003* | 0.051 ± 0.004 | 0.009 ± 0.002 |
2 colony | 0.209 ± 0.004* | 0.087 ± 0.002 | 0.050 ± 0.003* | 0.009 ± 0.002* | |
Males | 1 colony | 0.175 ± 0.004 | 0.083 ± 0.002 | 0.039 ± 0.002 | 0.008 ± 0.004 |
2 colony | 0.178 ± 0.003* | 0.085 ± 0.003# | 0.037 ± 0.003* | 0.006 ± 0.002* | |
Note: statistical differences between males and females are indicated: * — p < 0.05.
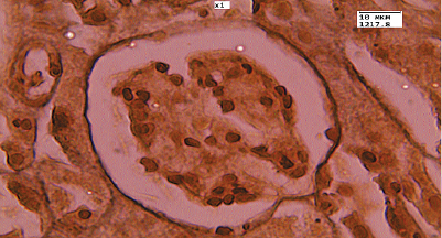
Fig. 1. Structure of renal glomerulus in the left kidney of female soprano pipistrelle (colony no. 1). Coloring according to the method of V.I. Turilova et al. (1998), ×1200
Table 2
Volume of podocytes, their nuclei and cytoplasm, nuclear- cytoplasmic ratio of podocytes in kidneys of soprano pipistrelle
Year | Volume, µm³ | Nuclear- cytoplasmic ratio, c. u. | ||
Podocytes | Podocyte nuclei | Podocyte cytoplasm | ||
Left kidney | ||||
Females (colony № 1) | ||||
2014 | 15.37 ± 0.03 | 0.57 ± 0.09 | 14.80 ± 0.06 | 3.85 ± 1.50 |
2018 | 15.83 ± 0.46 | 0.62 ± 0.05* | 15.21 ± 0.41* | 4.07 ± 0.12* |
Females (colony № 2) | ||||
2014 | 15.12 ± 0.06 | 0.65 ± 0.08 | 14.27 ± 0.02 | 4.29 ± 4.00 |
2018 | 15.37 ± 0.25* | 0.70 ± 0.05 | 14.47 ± 0.20* | 4.57 ± 0.25* |
Males (colony № 1) | ||||
2014 | 17.13 ± 0.05 | 0.81 ± 0.04 | 16.32 ± 0.01 | 4.96 ± 4.00 |
2018 | 17.25 ± 0.12* | 0.93 ± 0.12* | 16.32 ± 0.01 | 5.69 ± 1.00* |
Males (colony № 2) | ||||
2014 | 15.25 ± 0.06 | 0.90 ± 0.07 | 14.35 ± 0.01 | 6.27 ± 7.00 |
2018 | 15.37 ± 0.12* | 0.95 ± 0.05 | 14.42 ± 0.07* | 6.58 ± 0.71* |
Right kidney | ||||
Females (colony № 1) | ||||
2014 | 16.55 ± 0.07 | 0.61 ± 0.03 | 15.94 ± 0.07 | 3.82 ± 0.42 |
2018 | 17.48 ± 0.09 | 0.90 ± 0.09 | 16.58 ± 0.01* | 5.42 ± 9.00* |
Females (colony № 2) | ||||
2014 | 15.47 ± 0.10 | 0.71 ± 0.05 | 14.76 ± 0.05 | 4.81 ± 0.01 |
2018 | 15.53 ± 0.06 | 0.84 ± 0.13* | 14.66 ± 0.07 | 5.72 ± 1.85* |
Males (colony № 1) | ||||
2014 | 17.20 ± 0.03 | 0.83 ± 0.08 | 16.37 ± 0.05 | 5.81 ± 1.60 |
2018 | 17.12 ± 0.08* | 0.87 ± 0.04 | 16.25 ± 0.04 | 6.11 ± 1.00* |
Males (colony № 2) | ||||
2014 | 15.72 ± 0.07 | 0.92 ± 0.03 | 14.80 ± 0.04 | 6.21 ± 0.75 |
2018 | 15.61 ± 0.11* | 0.97 ± 0.05 | 14.64 ± 0.06 | 6.62 ± 0.83 |
Note: statistical differences between males and females are indicated: * — p < 0.05.
About the authors
Elizaveta N. Karpenko
Bryansk State University
Email: liza_zayceva22@mail.ru
ORCID iD: 0000-0002-4765-7216
Assistant, Department of Chemistry
14 Bezhitskaya st., Bryansk, 241007, Russian FederationAlexey L. Kharlan
Bryansk State University
Email: alexkharlan@mail.ru
ORCID iD: 0000-0003-0790-7804
Candidate of Biological Sciences, Associate Professor, Department of Biology
14 Bezhitskaya st., Bryansk, 241007, Russian FederationElena V. Zaitseva
Bryansk State University
Author for correspondence.
Email: z_ev11@mail.ru
ORCID iD: 0000-0002-1244-3058
Doctor of Biological Sciences, Professor, Department of Biology, Dean of Faculty of Natural Geography
14 Bezhitskaya st., Bryansk, 241007, Russian FederationReferences
- Russo D, Jones G. Bats as bioindicators. Mammalian Biology. 2015;80(3):157–246. doi: 10.1016/j.mambio.2015.03.005
- Put JE, Mitchell GW, Fahrig L. Higher bat and prey abundance at organic than conventional soybean fields. Biological Conservation. 2018;226:177–185. doi: 10.1016/j.biocon.2018.06.021
- Makarov VV, Lozovoy DA. Novye osobo opasnye infektsii, assotsiirovannye s rukokrylymi [New especially dangerous infections associated with bats]. Vladimir: RUDN University publ.; 2016. (In Russ.).
- Flache L, Ekschmitt K, Kierdorf U, Czarnecki S, Düring RA, Encarnação JA. Reduction of metal exposure of Daubenton’s bats (Myotis daubentonii) following remediation of pond sediment as evidenced by metal concentrations in hair. Science of The Total Environment. 2016;547:182–189. doi: 10.1016/j.scitotenv.2015.12.131
- Pulscher LA, Gray R, McQuilty R, Rose K, Welbergen J, Phalen DN. Investigation into the utility of flying foxes as bioindicators for environmental metal pollution reveals evidence of diminished lead but significant cadmium exposure. Chemosphere. 2020;254:126839. doi: 10.1016/j.chemosphere.2020.126839
- Grib VV, Zaitseva EV, Prokofiev IL, Zaitseva EN. Histological features of kidneys and adrenal glands of small bat (Pipistrellus pygmaeus) inhabiting territory of the Bryansk region. The Bryansk State University Herald. 2015;(2):392–396. (In Russ.).
- Kvochko AN. Evaluation of the activity of protein synthesis in kidneys of merino sheep in postnatal ontogenesis. Tsitologiya. 2001;43(12):1174–1178. (In Russ.).
- Chigray ON. The influence of immunomodulator Fosprenil on hematological and blood biochemical parameters in broilers of cross «Ross-308». Uchenye zapiski Bryanskogo gosudarstvennogo universiteta. 2016;(1):89–90. (In Russ.).
- Narcissov RP, Komissarova IA. Cytochemical study of hydrolytic and redox enzymes of peripheral blood lymphocytes. Russian Clinical Laboratory Diagnostics. 1980;(7):390–394. (In Russ.).
- Lisunova LN, Tokarev VA. Protein and mineral metabolism in the body of quails. Ptitsevodstvo. 2009;(9):35. (In Russ.).
- Turilova VI, Smirnova TD, Samoilovich MP, Sukhikh TR. Functional morphology of nucleolus-forming regions of chromosomes and nucleoli in human multiple myeloma cells. I. Changes in the morphology and character of silvering of the nucleolus-forming regions of the chromosomes of cell lines RPMI 8226 and U 266, which differ in the degree of differentiation, during 7 days after cell reseeding. Tsitol. 1998;40(6):536–547. (In Russ.).
- Zbarsky IB. Organizatsiya kletochnogo yadra [Organization of cell nucleus]. Moscow: Meditsina publ.; 1988. (In Russ.).
Supplementary files












