Dynamics of morphofunctional parameters in experimental pseudomonosis of rabbits
- Authors: Lenchenko E.M.1, Tolmacheva G.S.2
-
Affiliations:
- Russian Biotechnological University (RosBioTech)
- Gorbatov Federal Research Center for Food Systems of Russian Academy of Sciences
- Issue: Vol 18, No 4 (2023): Pesticides. Looking to the future
- Pages: 580-590
- Section: Veterinary science
- URL: https://agrojournal.rudn.ru/agronomy/article/view/19959
- DOI: https://doi.org/10.22363/2312-797X-2023-18-4-580-590
- EDN: https://elibrary.ru/NJFHHU
- ID: 19959
Cite item
Full Text
Abstract
Among the most frequently reported diseases of rabbits, the main place is occupied by diseases of bacterial etiology, the pathogens of which are characterized by multidrug resistance. The aim of the study was to analyze the dynamics of morphometric indicators during experimental infection of rabbits with Pseudomonas aeruginosa bacteria. When assessing colonization resistance of organs, the following indicators were taken into account: colonization index, ratio of the number of microorganisms isolated from nasal cavity washes, contents of cecum of clinically healthy and sick animals. Significant changes in morphological parameters (p ≤ 0.05) were revealed during the isolation of P. aeruginosa from blood, lymph nodes, spleen, liver, and kidneys of sick rabbits. Overgrowth of isolates producing adhesive antigens, hemolysins, bacteriocins should be considered as prognostic markers of connective tissue dysplasia. The initiation, development, and outcome of microbial overgrowth syndrome are mediated by morphofunctional changes in compensatory mechanisms of mucociliary clearance system and colonization resistance.
Full Text
Fig. 1. Dissemination of bacteria during intranasal infection with a culture of microorganisms P. aeruginosa, 1×108 CFU/ml
Source: made by the authors
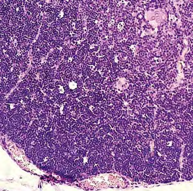
Fig. 2. Rabbit thymus when infected with bacteria P. aeruginosa. Hematoxylin and eosin. Magnification: 10 × 20, H604 Trinocular Unico, USA
Source: made by the authors
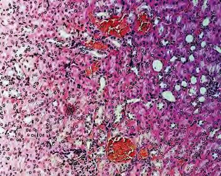
Fig. 3. Rabbit liver when infected with bacteria P. aeruginosa. Hematoxylin and eo-sin. Magnification: 10 × 20, H604 Trinocular Unico, USA
Source: made by the authors
Fig. 4. Rabbit kidneys when infected with bacteria P. aeruginosa. Hematoxylin and eosin. Magnification: 10 × 20, H604 Trinocular Unico, USA
Source: made by the authors
About the authors
Ekaterina M. Lenchenko
Russian Biotechnological University (RosBioTech)
Author for correspondence.
Email: lenchenko.ekaterina@yandex.ru
ORCID iD: 0000-0003-2576-2020
Doctor of Veterinary Sciences, Professor, Department of Veterinary Medicine, Institute of Veterinary Medicine, Veterinary and Sanitary Expertise and Agricultural Safety
11 Volokolamskoe highway, Moscow, 125080, Russian FederationGalina S. Tolmacheva
Gorbatov Federal Research Center for Food Systems of Russian Academy of Sciences
Email: tgs2991@yandex.ru
ORCID iD: 0000-0001-9937-320X
Research engineer
26 Talalikhina st., Moscow, 109316, Russian FederationReferences
- Kudriashov AA, Balabanova VI, Leviant TG. Death causes of rabbits and chinchillas by sectional data. Actual questions of veterinary biology. 2017;(1):53–58. (In Russ.).
- Velasco-G alilea M, Guivernau M, Piles M, Viñas M, Rafel O, Sánchez A. Breeding farm, level of feeding and presence of antibiotics in the feed influence rabbit cecal microbiota. Animal Microbiome. 2020;(2):40. doi: 10.1186/s42523-020-00059-z
- Espinosa J, Ferreras MC, Benavides J, Cuesta N, Pérez C, García Iglesias MJ, et al. Causes of mortality and disease in rabbits and hares: a retrospective study. Animals. 2020;10(1):158. doi: 10.3390/ani10010158
- Puón- Peláez XHD, McEwan NR, Álvarez-Martínez RC, Mariscal-Landín G, Nava- Morales GM, Mosqueda J, et al. Effect of feeding insoluble fiber on the microbiota and metabolites of the caecum and feces of rabbits recovering from epizootic rabbit enteropathy relative to non-infected rabbits. Pathogens. 2022;11(5):571. doi: 10.3390/ pathogens11050571
- Cotozzolo E, Cremonesi P, Curone G, Menchetti L, Riva F, Biscarini F, et al. Characterization of bacterial microbiota composition along the gastrointestinal tract in rabbits. Animals. 2021;11(1):31. doi: 10.3390/ani11010031
- Lenchenko EM, Kondakova IA, Lomova YV, Vatnikov YA, Voronina YY. Immunobiological and morphofunctional indicators with dysbacteriosis of the intestine of rabbits. RUDN Journal of Agronomy and Animal Industries. 2018;13(2):159–170. (In Russ.) doi: 10.22363/2312–797X-2018–13–2–159–170
- Mulani MS, Kamble EE, Kumkar SN, Tawre MS, Pardesi KR. Emerging strategies to combat ESKAPE pathogens in the era of antimicrobial resistance: a review. Frontiers in microbiology. 2019;10:539. doi: 10.3389/fmicb.2019.00539
- Tkachenko LV. Morphofunctional significance of rabbit lung lymphatic capillaries at experimental anthracosis. Bulletin of Altai State Agricultural University. 2018;(9):129–133. (In Russ.).
- Slesarenko NA, Komyakova VA, Stepanishin VV. Morpho-functional substantiation of risk factors for the risk of enteropathies in laboratory animals. Veterinary, zootechnics and biotechnology. 2019;(8):6–15. (In Russ.). doi: 10.26155/VET.ZOO.BIO.201908001
- Kovalev SP, Ovsjannikov AG, Kiselenko PS. Changes in bone marrow histology in rabbits by anemia. International Bulletin of Veterinary Medicine. 2017;(1):37–40. (In Russ.).
- Kudryashov AA, Levterov DE, Balabanova VI. Pathomorphology of viral hemorrhagic disease of rabbits. Actual questions of veterinary biology. 2022;(3):88–93. (In Russ.). doi: 10.24412/2074-5036-2022-3-88-93
- Nguyen NTQ, Gras E, Tran ND, Nguyen NNY, Lam HTH, Weiss WJ, et al. Pseudomonas aeruginosa ventilator-a ssociated pneumonia rabbit model for preclinical drug development. Antimicrob Agents Chemother. 2021;65(7): e02724–20. doi: 10.1128/AAC.02724-20
- Trivedi S, Grossmann AH, Jensen O, Cody MJ, Wahlig TA, Serpa PH, et al. Intestinal infection is associated with impaired lung innate immunity to secondary respiratory infection. Open Forum Infectious Diseases. 2021;8(6): ofab237. doi: 10.1093/ofid/ofab237
- Shevchenko AA, Shevchenko LV, Chernykh OY, Dzhailidi GA, Zerkalev DY, Litvinova AR. Sposob izgotovleniya vaktsiny, assotsiirovannoi protiv psevdomonoza i virusnoi gemorragicheskoi bolezni krolikov [A method for producing a vaccine associated with pseudomonosis and viral hemorrhagic disease of rabbits]. Patent RUS, no. 2553557, 2013. (In Russ.).
- Kunikova ED, Moroz NV, Dolgova MA, Malakhova LV, Komarov IA. Optimization of rhdv type 1 and 2 inactivation modes. Veterinary Science Today. 2021;(1):22–28. (In Russ.). doi: 10.29326/2304-196X-20211-36-22-28
- Prutsakov SV, Kruzhnov NN, Miroshnichenko PV, Skorikov AV, Shevchenko AN. Epizootology and therapy of pseudomonosis. Collection of scientific works of the KSCZV. 2020;9(2):119–122. (In Russ.). doi: 10.34617/r32x-hf32
- Lenchenko E, Sachivkina N, Lobaeva T, Zhabo N, Avdonina M. Bird immunobiological parameters in the dissemination of the biofilm-f orming bacteria Escherichia coli. Veterinary World. 2023;16(5):1052–1060. doi: 10.14202/vetworld.2023.1052-1060
- Pruntova OV, Rusaleyev VS, Shadrova NB. Modern understanding of the mechanisms of antimicrobial resistance of bacteria (analytical review). Veterinary Science Today. 2022;11(1):7–13. (In Russ.). doi: 10.2932 6/2304-196x-2022-11-1-7-13
- Pimenov NV, Kapustin AV, Petrov VA. Comparative tests of bacteriophage against Salmonella obtained by various methods of cultivation. Current issues of biology, biotechnology, veterinary medicine, animal science, commodity science and processing of raw materials of animal and plant origin: conference proceedings. 2019. p.58–59. (In Russ.).
- Vatnikov Y, Shabunin S, Kulikov E, Karamyan A, Murylev V, Elizarov P, et al. The efficiency of therapy the piglets gastroenteritis with combination of Enrofloxacin and phytosorbent Hypericum perforatum L. International Journal of Pharmaceutical Research. 2020;12(Suppl. 2):3064–3073. doi: 10.31838/ijpr/2020.sp2.373
- Olabode IR, Sachivkina N, Karamyan A, Mannapova R, Kuznetsova O, Bobunova A, et al. In vitro activity of farnesol against Malassezia pachydermatis isolates from otitis externa cases in dogs. Animals. 2023;13(7):1259. doi: 10.3390/ani13071259
- Vatnikov YA, Rudenko PA, Bugrov NS, Rudenko AA. Evaluation of the effectiveness of therapy for compensated intestinal dysbiosis in cats. Agrarian Science. 2022;(1):24–29. doi: 10.32634/0869-8155-2022355-1-24-29
Supplementary files














