Evaluation of Md-ACS1 gene polymorphism in apple trees for isolation of the identified composition of gene pool and breeding for long-storage fruits
- Authors: Ulianovskaya E.V.1, Chernutskaya E.A.1, Balapanov I.M.1, Stepanov I.V.1
-
Affiliations:
- North Caucasian Federal Scientific Center of Horticulture, Viticulture, Winemaking
- Issue: Vol 19, No 1 (2024): Factors of sustainable animal productivity: from genomics to therapy
- Pages: 101-110
- Section: Genetics and plant breeding
- URL: https://agrojournal.rudn.ru/agronomy/article/view/19994
- DOI: https://doi.org/10.22363/2312-797X-2024-19-1-101-110
- EDN: https://elibrary.ru/AAUKYU
- ID: 19994
Cite item
Full Text
Abstract
The apple tree (Malus × domestica Borkh.) is the most important perennial fruit crop widely cultivated and used in agricultural production around the world. The problem of extending shelf life and sale of fresh fruit crops is of great importance due to the year-round active use and demand among the population. To create commercially attractive, popular and valuable apple varieties of Russian breeding with genetically determined long-term keeping quality of fruits, the role of pre-breeding based on the study and mobilization of available biological resources including the use of DNA marking to identify the most valuable genotypes for the desired priority trait, is significant. The purpose of the study was to study allelic polymorphism of Md-A CS1 gene in 37 apple accessions to identify sources of long-term storage of fruits for further breeding use. The research was carried out in the Center for Collective Use ‘Research and Breeding Collection of Genetic Resources of Horticultural Crops’ using generally accepted programs and methods for variety study and selection of apple trees. The methods of DNA analysis were applied in the work. For DNA extraction, the CTAB method modified at North Caucasian Federal Scientific Center of Horticulture was used. According to DNA marking data, carriers of homozygous allelic combination (Md-ACS1–2/2) were identified among the studied apple accessions of Russian breeding: Persikovoe, Georgiy, Azimut, hybrid 17/1–6–47 (Champion × Modi), and foreign varieties: Smeralda, Fuji Mimo. The selected varieties and forms are promising in creating Russian genetic resources with improved commercial fruit traits including genetically determined increase in length of storage period. They can be used in breeding using DNA-marker selection for several target genes of quality, keeping quality and density of fruit pulp.
Keywords
Full Text
Введение
Коммерческая привлекательность и востребованность современных сортов яблони базируется на комплексе важнейших признаков: крупноплодность, одномерность, округлая или округло-коническая форма плода, равномерная сплошная покровная окраска (чисто желтая, красная различной интенсивности или чисто зеленая), десертный вкус, аромат, высокая транспортабельность, длительный срок хранения свежих плодов и др. Особенно важен признак «лежкость плодов» для наиболее востребованных производством и широко распространенных сортов яблони зимнего и позднезимнего сроков созревания.
На современном этапе селекции многолетней плодовой культуры яблони предпочтительно использование методов ДНК-маркирования как для оценки сортов, пополняющих коллекцию [1], так и для создаваемого нового сортового и гибридного материала [2]. Данные исследования проводят у нас в стране [3] и за рубежом [4], что позволяет использовать методы ДНК-маркирования при идентификации целевых генов яблони для ускорения селекционного процесса на различных его этапах. В связи с гетерозиготностью, длительным периодом ювенильного возраста яблони и сложностью происхождения культуры стоит отметить значительную трудоемкость, энергозатратность, длительность сроков и сложность большинства этапов селекции на основе традиционных методов. Использование методов ДНКмаркирования в селекции плодовых растений позволяет как усилить эффективность работы селекционера, так и значительно ускорить собственно селекционный процесс многолетних культур.
Цель исследования — изучение аллельного полиморфизма гена Md-ACS1 у 37 коллекционных образцов яблони для выявления источников длительной лежкости плодов и дальнейшего селекционного использования.
Материалы и методы исследования
Объекты исследования — 37 образцов яблони (Malus × domestica Borkh.) различного генетического и эколого-географического происхождения, в т. ч.:
- 12 сортов зарубежной селекции: Fuji Mimo (Япония), Sirius (Чехия), Smeralda, Gold Pink (Италия), Co-op 17 (США), Gala (Новая Зеландия), Есен, Айнур, Жаркын, Саркыт, Егемен, Максат (Казахстан);
- 9 сортов российской селекции: Луч, Персиковое (Северо-Кавказский федеральный научный центр садоводства, виноградарства, виноделия (СКФНЦСВВ)), Азимут, Памяти Евдокимова, Веста (СКФНЦСВВ, Всероссийский НИИ селекции плодовых культур (ВНИИСПК)), Стасовское, Георгия, Заря Ставрополья (Ставропольская опытная станция по садоводству (СОСС), СКФНЦСВВ), Любимое Дутовой (СКФНЦСВВ, ВНИИСПК, СОСС);
- 16 гибридных форм, полученных в СКФНЦСВВ на основе скрещивания иммунных к парше и высококачественных сортов современной селекции и прошедших предварительный отбор по хозяйственным признакам: 17/1–6–1 (из семьи Кармен × Gemeni), 17/1–6–31, 17/1–6–33, 17/1–6–34, 17/1–6–36, 17/1–6–38, 17/1–6–42, 17/1–6–47, 17/1–6–49, 17/1–6–52 (из семьи Champion × Modi), 17/1–6–55 (Honeycrisp × Fujion), 17/1–6–56, 17/1–6–58 (Liberty × Renuartsiv), 17/1–6–53, 17/1–6–66, 17/1–6–68 (12/1–21–63 × Modi).
Коллекционные насаждения яблони (на подвое М9 по схеме 4×1 м; 2015–2017 гг. посадки) расположены в ЗАО ОПХ «Центральном» г. Краснодара Краснодарского края, который относится к Северо-Кавказскому (6) региону садоводства. Научноисследовательская работа выполнена в центре коллективного пользования «Исследовательско-селекционная коллекция генетических ресурсов садовых культур» (ЦКП ИСК ГРСК) в СКФНЦСВВ.
Использованы программы и методики селекции и сортоизучения для плодовых культур, в т. ч. яблони [5, 6]; применены молекулярно-генетические методы исследования [7, 8]. Методом ДНК-анализа, основанным на ПЦР с последующим электрофоретическим анализом продуктов, выявляли генотипы яблони гетерозиготные и гомозиготные по второму аллелю гена Md-ACS1, ответственного за длительность сроков хранения плодов яблони. Для экстракции ДНК исследуемых образцов применили модификацию метода СТАВ, основанную на использовании 1 % концентрации поливинилпирролидона в лизирующем буфере. Модификация метода разработана в СКФНЦСВВ для наиболее полной очистки от полифенольных соединений проб ДНК.
Результаты исследования и обсуждение
Регион Северного Кавказа относится к основным в стране по производству плодовой продукции. Так, в сельскохозяйственных организациях по Южному федеральному округу (ЮФО) и Северо-Кавказскому федеральному округу (СКФО) плодовые насаждения занимают 49,4 %, по Краснодарскому краю — 18,5 % от общих площадей, валовые сборы плодов и ягод по ЮФО и СКФО составляют 77,4 %, а по Краснодарскому краю — 37,1 % [9]. В промышленном плодоводстве один из критериев-признаков интенсивных технологий производства плодов яблони — высокие товарные качества продукции, в т. ч. стандартность плодов не менее 90 % [10]. Однако, в промышленном производстве необходимо не только получить плоды высокого качества, но и сохранить их коммерчески значимые сортовые характеристики на длительный срок, так как преимущество при реализации имеют сорта с высокой лежкостью. Необходимо генетически обусловленное длительное сохранение полученного урожая культуры, особенно по зимним и позднезимним сортам, с минимумом потерь количества и качества плодовой продукции. В плодовых хозяйствах отрасли количество специально оборудованных холодильных камер и хранилищ недостаточно; могут иметь место проблемы с поставкой, монтажом, наладкой и эксплуатацией необходимого оборудования, особенно зарубежного производства, достаточно высокой его стоимостью. Кроме того, транспортабельность может значительно снизиться из-за перезревания плодов яблони в процессе хранения. В этих условиях изучение генетики признака имеет большое значение.
Для выделения среди исследуемых 37 образцов селекционно-ценного сортового и гибридного материала яблони, наряду с фенотипированием, использовали методы ДНК-анализа для выявления генотипов, в первую очередь, гомозиготных по аллелю 2 гена Md-ACS1 (вариант Md-ACS1–2/2), а также гетерозиготных (вариант MdACS1–1/2). Искомые аллельные сочетания обусловливают высокую и повышенную лежкоспособность плодов соответственно; особенно перспективно аллельное сочетание Md-ACS1–2/2.
Известно, что подавление биосинтеза этилена в плодах — основной механизм увеличения периода их хранения в контролируемых условиях. В период созревания яблок идет выделение этилена, способствуя перезреванию и разрыхлению мякоти плодов, оказывая негативное влияние на их качественные показатели: товарность, коммерческую и потребительскую привлекательность, лежкость и транспортабельность. В плодовом растении происходит синтез гормона, катализируемого ферментом 1-аминоциклопропан-1-карбоксилат синтазой (ACS), который кодируется геном Md-ACS1, в значительной степени определяющим уровень синтеза этилена в плодах в период созревания и хранения, влияющим на длительность периода хранения [4]. Созданы эффективные ДНКмаркеры для гена Md-ACS1, что позволяет выявлять различные аллельные сочетания, выделяя наиболее ценные из них по искомому гену для формирования идентифицированной части коллекционного фонда и вовлечения в дальнейшем в селекционный процесс по созданию отечественных сортов яблони с повышенной лежкостью плодов.
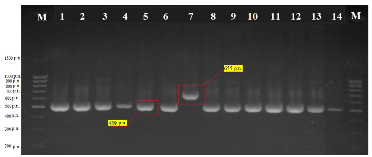
Гомозиготные образцы по аллелю 1 (Md-ACS1–1/1) имеют один продукт ПЦР размером 489 п. н. (пар нуклеотидов) (рис.), могут обладать достаточно высоким уровнем синтеза этилена в плодах, что характерно в основном для раннелетних и летних сортов яблони с небольшим сроком хранения и нежелательно для сортов зимнего и позднезимнего сроков созревания. Гомозиготны по аллелю 1 гена MdACS1 по данным исследований 24 образца из 37 анализируемых сортов: Памяти Евдокимова, Веста, Луч, Стасовское, Заря Ставрополья, Есен, Жаркын, Саркыт, Егемен и 15 гибридных форм из 16 изученных, за исключением 17/1–6–47 (из семьи Champion × Modi). Примечательно, что в данную группу наряду с летними и осенними сортами включены и сорта зимнего срока созревания с длительным периодом хранения: Стасовское, Заря Ставрополья и др., что согласуется с полученными результатами других исследователей об обусловленности искомого признака действием нескольких генов [11, 12].
Результаты ПЦР-идентификации аллелей гена Md ACS1 яблони. Селекционные формы яблони, отобранные по хозяйственным признакам: M — маркер молекулярной массы; 1 — из гибридной семьи Кармен × Gemini; 2–9 — семьи Shampion × Modi; 10 — Honeycrisp × Fujion; 11 и 12 — Liberty × Renuartsiv; 13 и 14 — элита 12/1–21–63 × Modi
Источник: сделано авторами
Results of PCR identification of alleles of the Md ACS1 gene of the apple tree. Breeding forms of apple trees, selected according to agronomic traits: M — molecular weight marker; 1 — from hybrid family Carmen × Gemini; 2–9 — from hybrid family Champion × Modi; 10 — from hybrid family Honeycrisp × Fujion; 11–12 — from hybrid family Liberty × Renuartsiv; 13–14 — from hybrid family Elite 12/1–21–63 × Modi
Source: created by the authors
Наиболее ценные генотипы яблони гомозиготны по аллелю 2 (Md-ACS1–2/2), что проявляется в наличии только одного продукта ПЦР размером 655 п. н.; данные сорта и гибриды имеют пониженный уровень синтеза этилена. Установлено, что гомозиготны по аллелю 2 гена Md-ACS1 сорта: Fuji Mimo, Smeralda, Gala
(контроль), Азимут, Персиковое, Георгия и гибридная форма 17/1–6–47 (из семьи Champion × Modi). Наряду с общеизвестным сортом Gala в качестве контрольного был взят и сорт Азимут, по которому были подтверждены положительные данные, полученные нами ранее. Необходимо отметить, что все сорта в данной группе имеют зимний и позднезимний срок созревания за исключением осеннего сорта Gala, у которого положительное влияние гомозиготы по аллелю 2 (Md-ACS1–2/2) по мнению зарубежных исследователей [11] усиливает влияние аллеля 1 по гену Md-ACO1.
Гетерозиготность по искомому гену (Md-ACS1–1/2), обусловленная наличием двух продуктов реакции размером 489 и 655 п. н., ведет к среднему уровню синтеза этилена в плодах. Согласно полученным результатам ДНК-анализа выявлено, что по гену Md-ACS1 гетерозиготны 6 образцов — сорта: Айнур, Максат, Любимое Дутовой, Sirius, Gold Pink, Co-op 17.
Однако, различные аллельные варианты по гену Md-ACS1 не могут показать все разнообразные проявления фенотипа по таким признакам, как длительность периода хранения плодов и сроки их размягчения [11]. Эти сложные процессы обусловлены действием нескольких генов и некоторые из них еще не установлены [13–15]. Тем не менее результаты сортового генотипирования перспективны для формирования идентифицированного коллекционного фонда и ускорения селекционного процесса.
Заключение
Согласно данным оценки полиморфизма по гену Md-ACS1 в исследуемой выборке из 37 сортов яблони различного генетического и эколого-географического происхождения выявлены три аллельных варианта гена: Md-ACS1–1/1, Md-ACS1–1/2 и Md-ACS1–2/2 — с частотой распространения 65, 16 и 19 % соответственно. Среди изученных образцов по результатам ДНК-анализа выделены гомозиготы по аллелю 2 гена Md-ACS1 у зарубежных (Smeralda, Fuji Mimo) и российских (Персиковое, Георгия, Азимут, гибрид 17/1–6–47 (Champion × Modi)) сортов яблони. Выделенные образцы яблони с наиболее ценным для селекции аллельным сочетанием MdACS1–2/2 имеют зимний или позднезимний срок созревания, длительный срок хранения и могут быть перспективны для использования в селекционных программах по ускоренному созданию коммерчески востребованных новых сортов с длительной лежкостью плодов.
About the authors
Elena V. Ulianovskaya
North Caucasian Federal Scientific Center of Horticulture, Viticulture, Winemaking
Author for correspondence.
Email: ulyanovskaya_e@mail.ru
ORCID iD: 0000-0003-3987-7363
SPIN-code: 5577-5173
Doctor of Agricultural Sciences, Head of the Laboratory of Varietal Study and Selection of Horticultural Crops
39 im. 40-letiya Pobedy st., Krasnodar, Krasnodar Territory, 350901, Russian FederationEvgenia A. Chernutskaya
North Caucasian Federal Scientific Center of Horticulture, Viticulture, Winemaking
Email: ev.belenko95@yandex.ru
ORCID iD: 0000-0001-5140-9891
SPIN-code: 2219-0777
PhD student, Junior Researcher, Laboratory of Varietal Study and Selection of Horticultural Crops
39 im. 40-letiya Pobedy st., Krasnodar, Krasnodar Territory, 350901, Russian FederationIlnur M. Balapanov
North Caucasian Federal Scientific Center of Horticulture, Viticulture, Winemaking
Email: i-balapanov@rambler.ru
ORCID iD: 0000-0002-0727-3605
SPIN-code: 7352-0780
Junior Researcher, Laboratory of Varietal Study and Selection of Horticultural Crops
39 im. 40-letiya Pobedy st., Krasnodar, Krasnodar Territory, 350901, Russian FederationIlya V. Stepanov
North Caucasian Federal Scientific Center of Horticulture, Viticulture, Winemaking
Email: ivstepanof@gmail.com
ORCID iD: 0000-0002-6251-300X
SPIN-code: 3968-1982
Junior Researcher, Laboratory of Selection and Biotechnology
39 im. 40-letiya Pobedy st., Krasnodar, Krasnodar Territory, 350901, Russian FederationReferences
- Technology Transfer of Plant Biotechnology (1st ed.) / Edit. by P.M. Gresshoff. CRC Press, 1996. Р. 111-125. doi: 10.1201/9780203737323
- Heo S., Kim C., Chung Y.S. High-resolution melting analysis for identification of apple cultivars using simple sequence repeat markers // Plant Biotechnol Rep. 2019. № 13. Р. 337-344. doi: 10.1007/s11816-019-00539-y
- Ульяновская Е.В., Богданович Т.В. Генетические ресурсы для селекционного совершенствования яблони // Плодоводство и виноградарство Юга России. 2018. № 51 (3). С. 1-14. doi: 10.30679/2219-533 5-2018-3-51-1-14
- Zhu Y., Barrit B.H. Md-ACS1 and Md-ACO1 genotyping of apple (Malus × domestica Borkh.) breeding parents and suitability for marker-assisted selection // Tree Genetics and Genomes. 2008. Vol. 4. P. 555-562. doi: 10.1007/s11295-007-0131-z
- Программа Северо-Кавказского центра по селекции плодовых, ягодных, цветочно-декоративных культур и винограда на период до 2030 года / Северо-Кавказский зональный научно-исследовательский институт садоводства и виноградарства РАСХН. Краснодар: Северо-Кавказский федеральный научный центр садоводства, виноградарства, виноделия, 2013. 202 с.
- Современные методология, инструментарий оценки и отбора селекционного материала садовых культур и винограда: монография. Краснодар: Северо-Кавказский федеральный научный центр садоводства, виноградарства, виноделия, 2017. 282 с.
- Murray M.G., Thompson W.F. Rapid isolation of high molecular weight plant DNA // Nucl. Acids Res. 1980. Vol. 10. P. 4321-4326. doi: 10.1093/nar/8.19.4321
- Patocchi A., Walser М., Tartarini S., Broggini G.A.L., Gennari F., Sansavini S., Gessler C. Identification by genome scanning approach (GSA) of a microsatellite tightly associated with the apple scab resistance gene Vm // Genome. 2005. № 48. Р. 630-636. doi: 10.1139/g05-036
- Егоров Е.А. Научное обеспечение становления, развития плодоводства и виноградарства Северо-Кавказского региона // Вестник российской сельскохозяйственной науки. 2021. № 3. С. 4-7. doi: 10.30850/vrsn/2021/3/4-7
- Егоров Е.А., Шадрина Ж.А., Кочьян Г.А. Методические подходы к биологизации интенсификационных процессов (на примере промышленного плодоводства) // Плодоводство и виноградарство Юга России. 2021. № 71 (5). С. 1-22. doi: 10.30679/2219-5335-2021-5-71-1-22
- Oraguzie N.C., Iwanami H., Soejima J., Hatada T., Hall A. Inheritance of the Md-ACS1 gene and its relationship to fruit softening in apple (Malus × domestica Borkh.) // Theor Appl Genet. 2004. № 108. 1526-1533. doi: 10.1007/s00122-003-1574-8
- Ульяновская Е.В., Супрун И.И. Ускоренное создание генотипов яблони с повышенными показателями адаптивности и качества на основе выявленных закономерностей наследования значимых признаков // Научные труды Государственного научного учреждения Северо-Кавказского зонального научно-исследовательского института садоводства и виноградарства Российской академии сельскохозяйственных наук. 2013. Т. 1. С. 47-52.
- Costa F., Eric W., de Weg V., Stella S. Map position and functional allelic diversity of Md-Exp7, a new putative expansin gene associated with fruit softening in apple (Malus × domestica Borkh.) and pear (Pyrus communis) // Tree Genetics & Genomes. 2008. Vol. 4. P. 575-586. doi: 10.1007/s11295-008-0133-5
- Савельев Н.И., Шамшин И.Н., Кудрявцев А.М. Генетический полиморфизм исходных форм яблони по аллелям генов длительной лежкости и качества плодов // Доклады Российской академии сельскохозяйственных наук. 2014. № 3. С. 17-20.
- Shamshin I.N., Shlyavas A.V., Trifonova A.A., Boris K.V., Kudryavtsev A.M. Ethylene and expansin biosynthesis related genes polymorphism in local apple (Malus domestica Borkh.) cultivars from VIR collection of plant genetic resources // Vavilov Journal of Genetics and Breeding. 2018. Vol. 22 (6). Р. 660-666. doi: 10.18699/VJ18.408
Supplementary files












