Epidemiological characteristics of dogs with dental calculus: 392 cases (2012-2020)
- Authors: Spirina A.S.1,2, Spirina O.A.2,3, Bychkov V.S.4, Ermakov A.M.1
-
Affiliations:
- Don State Technical University
- Dentalvet Educational and Veterinary Center
- ROSBIOTECH
- Russian State Agrarian University - Moscow Timiryazev Agricultural Academy
- Issue: Vol 20, No 2 (2025): Applied aspects of pharmaceutical science in veterinary medicine
- Pages: 310-322
- Section: Veterinary science
- URL: https://agrojournal.rudn.ru/agronomy/article/view/20203
- DOI: https://doi.org/10.22363/2312-797X-2025-20-2-310-322
- EDN: https://elibrary.ru/NYSUDP
- ID: 20203
Cite item
Full Text
Abstract
Dental calculus is a local irritant to adjacent soft tissues, causing an inflammatory response that contributes to the development of periodontal diseases. Mineralized plaque contains bacterial toxins, which can lead to systemic infections. A retrospective analysis of the oral cavity condition of 392 dogs with dental calculus admitted for a comprehensive dental examination and oral sanitation to the Dentalvet veterinary center in 2012-2020 was conducted. An analysis of epidemiological data was performed to determine the risk factors for dental calculus formation. The study showed that small breed dogs aged 1 to 5 years were included in highrisk group for periodontal diseases. Tables with data on dental plaque and calculus indices, age characteristics of dogs, number of dog groups by skull type and breed, photographs and intraoral X-rays were provided.
Full Text
Table 1
Dental plaque index in dogs
Index | Dental plaque (area on tooth surface), % |
0 | No |
1 | 1…24 |
2 | 25…49 |
3 | 50…74 |
4 | 75…100 |
Source: Spirina AS, Spirina OA, Ermakov AM. Sanatsiya rotovoi polosti u sobak. Zapolnenie stomatologicheskoi karty [Oral cavity sanitation in dogs. Filling out a dental card]. Rostov-on-Don; 2023.
Fig. 1. Healthy gums and clean tooth (204 tooth)
Source: VTC "Dentalvet".
Fig. 2. Dental plaque — index 2 (208 tooth).
Source: VTC "Dentalvet".
Fig. 3. Dental plaque — index 2 (108,104,404 teeth)
Source: VTC "Dentalvet".
Table 2
Dental calculus index
Index | Dental calculus (area of tooth surface affected), % |
0 | No |
1 | 1…24 |
2 | 25…49 |
3 | 50…74 |
Source: Spirina AS, Spirina OA, Ermakov AM. Sanatsiya rotovoi polosti u sobak. Zapolnenie stomatologicheskoi karty [Oral cavity sanitation in dogs. Filling out a dental card]. Rostov-on-Don; 2023.
Fig. 4. Dental calculus stage 1 (109, 108, 104)
Source: VTC "Dentalvet".
Fig. 5. Intraoral radiograph for stage 1 dental calculus
Source: VTC "Dentalvet".
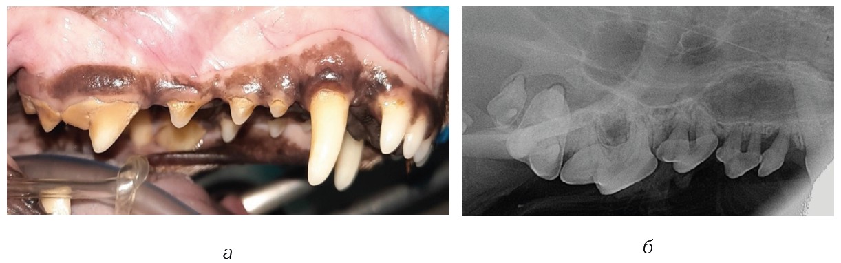
Fig. 6. Dental calculus: a — stage 1 (409 tooth) and stage 3 (404 tooth); б — stage 2 (409–405 teeth); в and г — intraoral radiograph for stage 2 dental calculus.
Source: VTC "Dentalvet".
Fig. 7. Dental calculus stage 2: а — 109–106 teeth; б — Intraoral radiograph for stage 2 dental calculus
Source: VTC "Dentalvet".
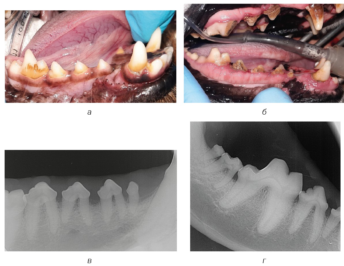
Fig. 8. Dental calculus stage 3: а — quadrant 100; б and в — Intraoral radiograph for stage 3 dental calculus
Source: VTC "Dentalvet".
Fig. 9. Dental calculus stage 4 (а, б) and Intraoral radiograph for stage 4 dental calculus (в, г)
Source: VTC "Dentalvet".
Fig. 10. Age characteristics of dogs with dental calculus by groups (n = 392)
Source: VTC "Dentalvet".
Table 3
Animal groups by skull type
Skull type | Number of animals (n = 392) | Proportion of all admitted animals, % (n = 392) |
Brachycephalians | 16 | 4.1 |
Mesocephalians | 356 | 90.8 |
Dolichocephalians | 20 | 5.1 |
Source: VTC "Dentalvet".
Fig. 11. The prevalence of dental calculus in dogs of various breeds (392 animals)
Source: VTC "Dentalvet".
About the authors
Anna S. Spirina
Don State Technical University; Dentalvet Educational and Veterinary Center
Author for correspondence.
Email: SpirinaAnnaS@yandex.ru
SPIN-code: 3535-8732
Candidate of Veterinary Sciences, Associate Professor, Head of the Department of Dentistry and Maxillofacial Surgery, Don State Technical University; Senior Lecturer, Dentalvet Educational and Veterinary Center 1 Gagarin sq., Rostov-on-Don, 344010, Russian Federation; 2/1 Aviakonstruktora Milya st., Moscow, 109431, Russian Federation
Olga A. Spirina
Dentalvet Educational and Veterinary Center; ROSBIOTECH
Email: spirinaoa@gmail.com
ORCID iD: 0000-0003-3160-8062
SPIN-code: 7457-6591
Senior Lecturer, Dentalvet Educational and Veterinary Center; postgraduate student, Russian Biotechnological University (ROSBIOTECH)
2/1 Aviakonstruktora Milya st., Moscow, 109431, Russian Federation;11 Volokolamskoe highway, Moscow, 125080, Russian FederationVladislav S. Bychkov
Russian State Agrarian University - Moscow Timiryazev Agricultural Academy
Email: vlad91bd@yandex.ru
ORCID iD: 0000-0003-1548-9999
SPIN-code: 1529-7483
Candidate of Veterinary Sciences, Associate Professor, Department of Veterinary Medicine
49 Timiryazevskaya st., Moscow, 127434, Russian FederationAleksey M. Ermakov
Don State Technical University
Email: amermakov@yandex.ru
ORCID iD: 0000-0002-9834-3989
SPIN-code: 5358-3424
Doctor of Biological Sciences, Professor, Head of the Department of Biology and General Pathology
1 Gagarin sq., Rostov-on-Don, 344010, Russian FederationReferences
- Borah BM, Halter TJ, Xie B, Henneman ZJ, Siudzinski TR, Harris S, et al. Kinetics of canine dental calculus crystallization: an in vitro study on the influence of inorganic components of canine saliva. Journal of Colloid and Interface Science. 2014;425:20–26. doi: 10.1016/j.jcis.2014.03.029
- Coignoul E, Cheville N. Calcified microbial plaque. Dental calculus of dogs. American Journal of Pathology. 1984;117(3):499–501.
- Harvey CE. Periodontal disease in dogs: etiopathogenesis, prevalence, and significance. Veterinary Clinics of North America: Small Animal Practice. 1998;28(5):1111–1128. doi: 10.1016/S0195-5616 (98) 50105-2
- Harvey C. The Relationship between periodontal infection and systemic and distant organ disease in dogs. Veterinary Clinics of North America: Small Animal Practice. 2022;52(1):121–137. doi: 10.1016/j.cvsm.2021.09.004 EDN: LIURPO
- DeBowes LJ, Mosier D, Logan E, Harvey CE, Lowry S, Richarson DC. Association of periodontal disease and histologic lesions in multiple organs from 45 dogs. Journal of Veterinary Dentistry. 1996;13(2):57–60. doi: 10.1177/089875649601300201
- Enax J, Ganss B, Amaechi BT, Schulze zur Wiesche E, Meyer F. The composition of the dental pellicle: an updated literature review. Frontiers Oral Health. 2023;4:1260442. doi: 10.3389/froh.2023.1260442
- Jin Y, Yip HK. Supragingival calculus: formation and control. Critical Reviews in Oral Biology & Medicine. 2002;13(5):426–441. doi: 10.1177/154411130201300506
- Friskopp J, Isacsson G. A quantitative microradiographic study of mineral content of supragingival and subgingival dental calculus. European Journal of Oral Sciences. 1984;92(1):25–32. doi: 10.1111/j.1600-0722.1984.tb00855.x
- Evstropov V, Zelenkova G, Tresnitskii S, Ermakov A, Spirina A, Bykadorov P, et al. Immunological aspects of inflammatory periodontal disease (analytical review). In: 8th Innovative Technologies in Science and Education: conference proceedings. EDP Sciences; 2020. p.06005 doi: 10.1051/e3sconf/202021006005 EDN: FHMJPH
- Crossley DA, Penman S. BSAVA Manual of Small Animal Dentistry. Wiley; 1995.
- Spirina OA, Spirina AS. Infective endocarditis in dogs associated with periodontal disease. Problems of veterinary sanitation, hygiene and ecology: conference proceedings. 2024. p.133–140. (In Russ.). doi: 10.31016/vet.san.2024-121-22 EDN: OWACGK
- Santibáñez R, Rodríguez-Salas C, Flores-Yáñez C, Garrido D, Thomson P. Assessment of changes in the oral microbiome that occur in dogs with periodontal disease. Veterinary Sciences. 2021;8(12);291. doi: 10.3390/vetsci8120291
- Wallis C, Holcombe LJ. A review of the frequency and impact of periodontal disease in dogs. Journal of Small Animal Practice. 2020;61(9):529–540. doi: 10.1111/jsap.13218 EDN: TCQDTG
- Ruparell A, Wallis C, Haydock R, Cawthrow A, Holcombe LJ. Comparison of subgingival and gingival margin plaque microbiota from dogs with healthy gingiva and early periodontal disease. Research in Veterinary Science. 2021;136:396–407. doi: 10.1016/j.rvsc.2021.01.011 EDN: PBAMHV
- Stella JL, Bauer AE, Croney CC. A cross-sectional study to estimate prevalence of periodontal disease in a population of dogs (Canis familiaris) in commercial breeding facilities in Indiana and Illinois. PLoS ONE. 2018;13(1): e0191395. doi: 10.1371/journal.pone.0191395
Supplementary files
Source: VTC "Dentalvet".
Source: VTC "Dentalvet".
Source: VTC "Dentalvet".
Source: VTC "Dentalvet".
Source: VTC "Dentalvet".
Source: VTC "Dentalvet".





















