Morphofunctional parameters of the immune system of chickens after dissemination of bacteria Pseudomonas aeruginosa
- Authors: Lenchenko E.M.1, Tolmacheva G.S.2, Kulikov E.V.3
- 
							Affiliations: 
							- Russian Biotechnological University (BIOTECH University)
- Gorbatov Federal Research Center for Food Systems
- RUDN University
 
- Issue: Vol 19, No 2 (2024)
- Pages: 349-357
- Section: Veterinary science
- URL: https://agrojournal.rudn.ru/agronomy/article/view/20036
- DOI: https://doi.org/10.22363/2312-797X-2024-19-2-349-357
- EDN: https://elibrary.ru/HPKPBW
- ID: 20036
Cite item
Abstract
Infectious diseases caused by ubiquitous bacteria with variability of virulence factors and multiple antibiotic resistance reliably often represent the structure of the general pathology of poultry. The aim of the study was to analyze dynamics of morph functional parameters of immune system of chickens in experimental pseudomonas infection. The initiation, development, and outcome of the experimental infectious process were considered using bacteriological and immunological methods with vital dye. Dissemination of P. aeruginosa bacteria revealed significant increase in extravasation of lung blood vessels, signs of hemodynamic disorders, and development of dystrophic and compensatory-adaptive processes. Pathogenic mechanisms are mediated by the dynamics of changes in reticuloendothelial and lymph epithelial systems: accidental transformation of thymus, atrophy of bursa of Fabricius, hyperplasia of esophageal and cecum lymphoid follicles, Meckel’s diverticulum, and spleen.
Full Text
Introduction
In poultry farms with high morbidity and mortality rates, respiratory and cardiovascular system disorders, as well as a sharp decrease in egg production, are most commonly found [1–3]. Pseudomonas aeruginosa isolates were reliably frequently isolated when there was mass death of embryos, development of septicemia, and hemorrhagic pneumonia in chickens [4–7].
Throughout the world, there is a statistically significant upward trend in the incidence of nosocomial pseudomonosis epidemiological indicators [8, 9]. Due to the increasing etiological significance in the development of purulent-s eptic processes in mammals and birds, these bacteria have been recognized as priority for research and included in the global list of pathogens (Global Priority Pathogen list) of multiple drug resistance (Multidrug- Resistant) [10].
Pathogenesis of syndrome of excessive growth of pathogenic microorganisms is ensured by dissociation, dispersion of uncultivated cells that have advantages in hyperaggregation of multicellular heterogeneous population of biofilms [3, 11]. To develop effective diagnostic methods and preventive anti-epizootic measures, it is a priority to reveal the pathogenetic mechanisms of adaptation in ubiquitous microorganisms to long-term persistence both in vivo and in vitro.
The aim of the study was to analyze dynamics of morphofunctional parameters of the immune system of chickens during dissemination of Pseudomonas aeruginosa bacteria.
Materials and methods
Pseudomonas aeruginosa ATCC 9027 microorganisms were cultivated in liquid and solid nutrient media: Nutrient broth (HiMedia, India), Difco Bacto agar (Difco, USA), Cetrimide agar (HiMedia, India) at 37±1 °C for 24 and 48 hours. Biochemical properties were studied using Hiss medium. To study bacteriological and morphofunctional parameters, 20-day-old White Leghorn chickens (n = 10) were intranasally injected with 0.02 cm³ of P. aeruginosa culture (5×109 CFU/ml) — experimental group; the same group of chickens (n = 10) was injected in the same way with 0.02 cm³ of 0.85% NaCl — control group. Pathological autopsies and histological studies were performed using standard methods, considering anatomical and topographic features of bird organs [1, 2, 12–14]. To study dynamics of changes during dissemination of microorganisms, permeability of lung vessels was measured using Evans Blue dye [3, 11]. The experiments were carried out in accordance with the requirements of Directive 2010/63/EU of the European Parliament and of the Council of 22 September 2010 on protection of animals used for scientific purposes. The results of experimental studies were processed using generally accepted methods and were considered reliable at p ≤ 0.05.
Results and discussion
Clinical signs of acute course of the disease developed within 24–120 hours of experimental studies. Anorexia, thirst, cyanosis of wattles and comb were observed, bloody foamy liquid was secreted from nasal openings, plumage of periorbital region and around nasal openings was stuck together and wet. In bacteriological examination of pathological material, isolates were obtained after 24–48 hours from lungs, intestines, liver; 96 hours — blood, kidneys; 120 hours — spleen. The isolates were gram-negative, aerobic, reduced nitrites to nitrates, liquefied gelatin and clotted blood serum, hydrolyzed casein, did not ferment maltose, did not form indole, hydrogen sulfide (Table).
Results of studying phenotypic traits of isolates obtained from chicken pathological material
| Traits | Isolates, 37 ± 1 °C | |||||
| № 1 | № 2 | № 3 | № 4 | № 5 | № 6 | |
| Oxidase | + | + | + | + | + | + | 
| Catalase | + | + | + | + | + | + | 
| Glucose | + | + | + | + | + | + | 
| Lactose | – | – | – | – | – | – | 
| Sucrose | – | – | – | – | – | – | 
| Maltose | – | – | – | – | – | – | 
| Mannitol | + | + | + | + | + | + | 
| Trehalose | + | + | + | + | + | + | 
| Xylose | + | + | + | + | + | + | 
| Arabinose | + | + | + | + | + | + | 
| β-galactosidase | – | – | – | – | – | – | 
| Malonate | + | + | + | + | + | + | 
| Urease | + | + | + | + | + | + | 
| Arginine | + | + | + | + | + | + | 
| Ornithine | – | – | – | – | – | – | 
| Lysine | – | – | – | – | – | – | 
| Acetamide | + | + | + | + | + | + | 
| Esculin | – | – | – | – | – | – | 
| Inositol | – | – | – | – | – | – | 
| Indole | – | – | – | – | – | – | 
| Hydrogen sulfide | – | – | – | – | – | – | 
| Hemolysis | + | + | + | + | + | + | 
| Diffusing bluegreen pigment | + | + | + | + | + | + | 
Note. № 1 — from lungs; № 2 — from blood; № 3 — from liver; № 4 — from kidney; № 5 — from ileum content; № 6 — from caecum content.
The dissemination of bacteria was accompanied by multiple bruises on skin, signs of hemodynamic disorders in cardiovascular, respiratory, digestive, excretory, and reproductive systems. Inflammatory hyperemia, serous edema, lymphoid- macrophage infiltration, necrosis, and desquamation of covering epithelium of tracheal mucosa were detected. Significant accumulations of thick mucus and presence of fibrin films were found in the lumen of collapsed air sacs. In the presence of signs of aerosacculitis and acute catarrhal pneumonia, inflammatory processes were accompanied by formation of serous-h emorrhagic exudate and desquamation of alveolar epithelium. The impregnation of lung tissues with Evans Blue dye, which does not penetrate through intact endothelium of blood vessels, was detected. The coefficient of permeability of blood vessels K during extravasation of vital dye: Kcontrol — ≤ 0.18; Kexp — 1.08 ± 0.11 – 2.04 ± 0.12. The affected lobules of the lungs had a flabby consistency, were painted in bright red color, and surface of the organ section was wet. Significant accumulations of hemorrhagic exudate and light pink thread-like fibrin structures were found in the lumen of parabronchi, bronchi, and alveoli. Hyperemia and leukocyte infiltration, fibroblast proliferation were observed in the interlobular connective tissue. The pericardium was filled with serous-fi brinous exudate, extensive hemorrhages with bruises were detected under the endocardium. Signs of acute dilation of the right atrium and overfilling of the right ventricle with dark red fluid were accompanied by cardiomyopathy. With the development of congestive hyperemia of coronary vessels, signs of toxic dystrophy of cardiomyocytes, massive decay of lymphocytes, and disseminated thrombosis developed.
In the lumen of small intestine, brown- colored fluid with blood clots was detected, and multiple pinpoint, spotty, and striped hemorrhages were found in the mucous membrane of stomach and small intestine. Discomplexation of the beam structure of lobules, toxic dystrophy of hepatocytes, and engorgement of sinusoidal capillaries were observed. Congestive hemorrhagic infarction of the kidneys developed, as well as atresia of egg follicles and oviducts, yolk peritonitis. Signs of hemorrhagic diathesis, catarrhal-h emorrhagic aerosacculitis, hemorrhagic pneumonia, serous- fibrinous pericarditis, necrosis of myocardium and liver, septicemia, yolk rupture, splenomegaly usually developed (Fig. 1).
Fig. 1. Absolute spleen weight of chickens after intranasal bacterial infection with Pseudomonas aeruginosa, 5×109 CFU/ml
Source: created by E.M. Lenchenko, G.S. Tolmacheva using Microsoft Word
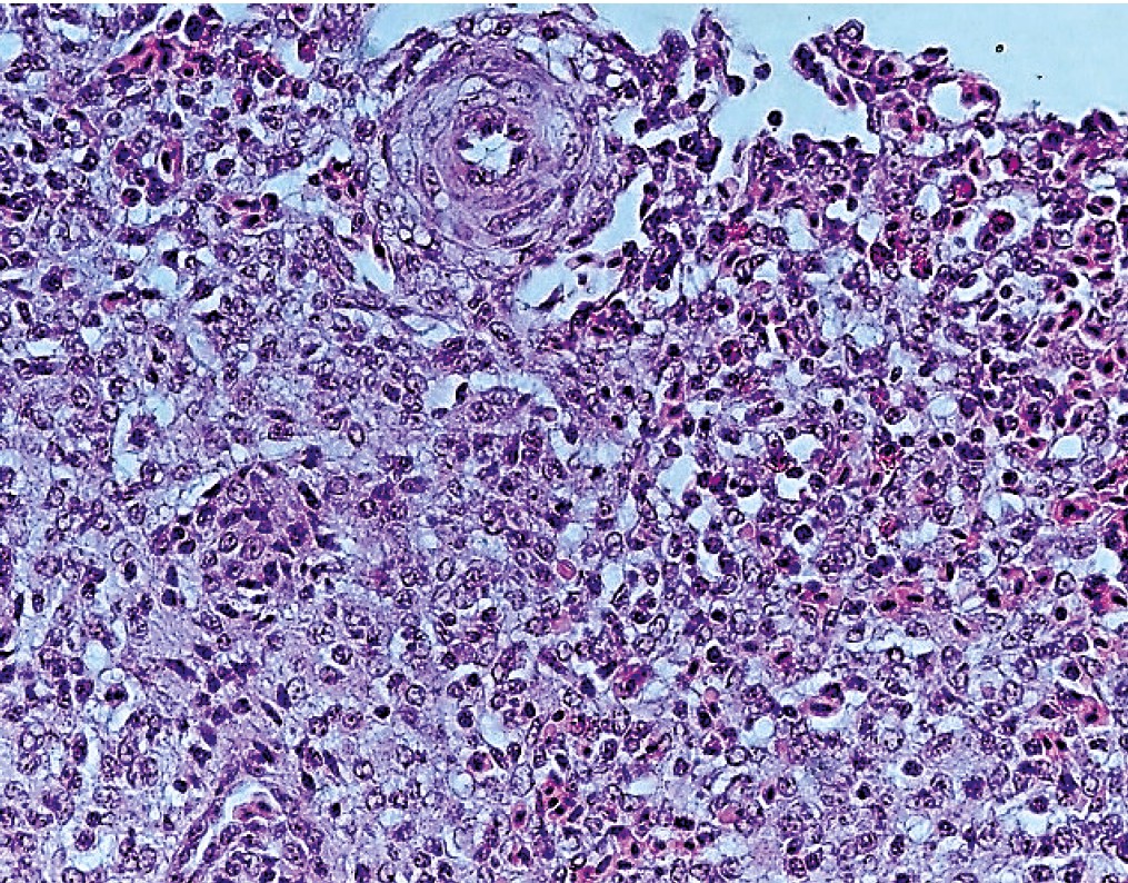
In general, the initiation and development of pathogenetic mechanisms are mediated by decrease in phagocytic function of leukocytes, secretion of acute phase proteins and cytokines, development of septicemia and purulent- inflammatory processes. With prolonged persistence of microorganisms, signs of accidental transformation of thymus, atrophy of bursa of Fabricius, hyperplasia of cells of esophageal follicles, Meckel’s diverticulum of jejunum, cecal lymphoid follicles, and spleen developed. Caryolysis of red blood cells was reliably often observed in areas of emptying of red pulp, and oxyphilic inclusions of granular form were detected in the cytoplasm of red blood cells. The development of pathological processes according to the type of delayed hypersensitivity reaction was accompanied by bacterial embolism of vessels, large cell hyperplasia of lymphadenoid tissue, increase in the number of histiocytes, megakaryocytes. Areas of lysis of red blood cells and clusters of diffusely located hemosiderin granules in parenchyma of spleen and lumen of blood vessels were revealed (Fig. 2).
Fig. 2. Spleen of Chicken infected with bacteria P. aeruginosa. Hematoxylin and eosin. Magnification: 10 × 20, H604 Trinocular Unico, USA
Source: created by E.M. Lenchenko, G.S. Tolmacheva
It was found that the relative area of red pulp increased and the relative area of white pulp decreased. There was increase in the total area of reactive centers of white pulp. In areas of compaction and inflammation, cooperative interaction of leukocytes was represented mainly by population of B-lymphocytes and macrophages. Direct correlations (r = 0.89) were noted between indicators of increase in the number of Th1 lymphocytes and hypersecretion of immunoglobulins. A significant increase in the size of lymphoid follicles was established, lymphocytes around the central artery were sparsely located, pyknosis and karyorrhexis of lymphocytes, necrosis of reactive centers were observed. As a rule, areas of sinus desolation, giant macrophages were detected, signs of perivascular reticuloendothelial hyperplasia developed.
The general patterns of antigenic exposure are mediated by the reaction of central organs of immune system, designed to “recruit” lymphocytes, and peripheral organs — to form the microenvironment of intercellular interaction sites of immunocompetent cells [15– 18]. When screening samples, including pooled samples from different age groups of population, it should be considered that the maximum level of specific immunoglobulins is observed after 1–4 weeks [1, 3]. Along with the use of chemotherapeutic drugs and specific prevention agents, the use of drugs for correcting immune status is recommended [19–22]. A preventive measure to reduce the risks of formation and maintenance of natural foci of infection is optimization of microbiological monitoring scheme to identify common patterns in the development of epizootic process during pathogen circulation in natural ecosystems without the influence of anthropogenic factors [13, 14, 16]. Methodological approaches to the development and implementation of scientifically based principles of prevention in industrial poultry farming are based on improving the regulatory framework, adapting methods for economic evaluation of the effectiveness of measures, and using digital technologies, including for planning and implementation of anti-epizootic measures [19, 20, 23].
Conclusion
After dissemination of P. aeruginosa bacteria into tissues and organs of chickens, a significant increase in the indicators of extravasation of blood vessels of lung was found, experiment — K ≥ 2.04. The initiation and development of pathogenetic mechanisms are mediated by the development of immune reactions of the delayed hypersensitivity type: bacterial vascular embolism, large-cell hyperplasia of lymphadenoid tissue, increase in the number of histiocytes, megakaryocytes.
About the authors
Ekaterina M. Lenchenko
Russian Biotechnological University (BIOTECH University)
							Author for correspondence.
							Email: lenchenko.ekaterina@yandex.ru
				                	ORCID iD: 0000-0003-2576-2020
				                	SPIN-code: 9417-0889
																		                								
Doctor of Veterinary Sciences, Professor, Department of Veterinary Medicine, Institute of Veterinary Medicine, Veterinary and Sanitary Expertise and Agricultural Safety
11 Volokolamskoe highway, Moscow, 125080, Russian FederationGalina S. Tolmacheva
Gorbatov Federal Research Center for Food Systems
														Email: tgs2991@yandex.ru
				                	ORCID iD: 0000-0001-9937-320X
				                	SPIN-code: 6909-2048
																		                								
Research engineer
26 Talalikhina st., Moscow, 109316, Russian FederationEvgeny V. Kulikov
RUDN University
														Email: kulikov-ev@rudn.ru
				                	ORCID iD: 0000-0001-6936-2163
				                	SPIN-code: 6199-2479
																		                								
Candidate of Biological Sciences, Associate Professor, Department of Veterinary Medicine
6 Miklukho-Maklaya st., Moscow, 117198, Russian FederationReferences
- Vakhrusheva TI. Pathomorphological diagnosis of ornithobacteriosis in decorative pigeons. Journal scientific notes Kazan Bauman state academy of veterinary medicine. 2021;(4):35–41. (In Russ.). doi: 10.31588/24134201-1883-248-4-35-41
- Gromov IN. Pathomorphology and differential diagnosis of avian infectious diseases, accompanied by respiratory syndrome. Veterinary Medicine. 2021;(3):3–7. (In Russ.). doi: 10.30896/0042-4846.2021.24.3.03-07
- Lenchenko E, Sachivkina N, Lobaeva T, Zhabo N, Avdonina M. Bird immunobiological parameters in the dissemination of the biofilm-f orming bacteria Escherichia coli. Veterinary World. 2023;16(5):1052–1060. doi: 10.14202/vetworld.2023.1052-1060
- Algammal AM, Eidaroos NH, Alfifi KJ, Alatawy M, Al-H arbi AI, Alanazi YF, et al. oprL Gene Sequencing, Resistance Patterns, Virulence Genes, Quorum Sensing and Antibiotic Resistance Genes of XDR Pseudomonas aeruginosa Isolated from Broiler Chickens. Infection and drug resistance. 2023;16:853–867. doi: 10.2147/IDR.S401473
- Kebede F. Pseudomonas infection in chickens. J Vet Med Anim Health. 2010;2(4):55–58.
- Badr JM, El Saidy FR, Abdelfattah AA. Emergence of multi-drug resistant Pseudomonas aeruginosa in broiler chicks. International Journal of Microbiology and Biotechnology. 2020;5(2):41–47. doi: 10.11648/j. ijmb.20200502.11
- Abd El-G hany WA. Pseudomonas aeruginosa infection of avian origin: Zoonosis and one health implications. Veterinary World. 2021;14(8):2155–2159. doi: 10.14202/vetworld.2021.2155-2159
- Wood SJ, Kuzel TM, Shafikhani SH. Pseudomonas aeruginosa: Infections, Animal Modeling, and Therapeutics. Cells. 2023;12(1):199. doi: 10.3390/cells12010199
- Montero MM, López Montesinos I, Knobel H, Molas E, Sorlí L, Siverio-P arés A, et al. Risk Factors for Mortality among Patients with Pseudomonas aeruginosa Bloodstream Infections: What Is the Influence of XDR Phenotype on Outcomes? J Clin Med. 2020;9(2):514. doi: 10.3390/jcm9020514
- Hernando- Amado S, Martínez JL. Special Issue: “Antimicrobial Resistance in Pseudomonas aeruginosa”.
- Microorganisms. 2023;11(3):744. doi: 10.3390/microorganisms11030744
- Lenchenko EM, Plotnikova EM. Histochemical of immunity birds when escherichyosis. Veterinary Medicine. 2014;(8):25–28. (In Russ.).
- Zhurov DO. Organs of the immune system of the mute swan: synthopy, architectonics and morphometric indicators. Uchenye zapiski UO VGAVM. 2023;59(3):17–21. (In Russ.). doi: 10.52368/2078-0109-2023-17-21
- Seleznev SB, Krotova EA, Vetoshkina GA, Kulikov EV, Burykina LP. The main principles of the structural organization of the immune system of the Japanese quails. RUDN Journal of Agronomy and Animal Industries. 2015;(4):66–73. (In Russ.). doi: 10.22363/2312-797X-2015-4-66-73
- Volkov MS, Irza VN, Varkentin AV, Rogolev SV, Andriyasov AV. Results of scientific expedition to natural biotopes of the Republic of Tyva in 2019 with the purpose of infectious disease monitoring in wild bird populations. Veterinary Science Today. 2020;(2):83–88. (In Russ.). doi: 10.29326/2304-196X-2020-2-33-83-88
- Slesarenko NA, Komyakova VA, Stepanishin VV. Morphofunctional substantiation of risk factors for enteropathy in laboratory animals. Veterinariya, Zootekhniya i biotekhnologiya. 2019;(8):6–15. (In Russ.). doi: 10.26155/vet.zoo.bio.201908001
- Lenchenko E, Sachivkina N, Petrukhina O, Petukhov N, Zharov A, Zhabo N, Avdonina M. Anatomical, pathological, and histological features of experimental respiratory infection of birds by biofilm- forming bacteria Staphylococcus aureus. Veterinary World. 2024;17(3):612–619. doi: 10.14202/vetworld.2024.612-619
- Trivedi S, Grossmann AH, Jensen O, Cody MJ, Wahlig TA, Hayakawa Serpa P, et al. Intestinal infection is associated with impaired lung innate immunity to secondary respiratory infection. Open Forum Infectious Diseases. 2021;8(6): ofab237. doi: 10.1093/ofid/ofab237
- Pimenov NV, Laptev SV, Permyakova KY, Marzanova SN, Ivannikova RF. The role of neutrophilic granulocytes and cationic proteins as biomarkers of the severity of the course of infectious and non-infectious animal diseases. International Journal of Veterinary Medicine. 2023;(4):37–48. (In Russ.). doi: 10.52419/ issn2072-2419.2023.4.37
- Dzhavadov ED. Vaccination as the main factor in maintaining biosafety of poultry enterprises. In: Organizatsiya sistemy kontrolya infektsionnykh boleznei ptits, primeneniya antimikrobnykh preparatov i vypuska bezopasnoi produktsii ptitsevodstva [Organization of a system for monitoring infectious diseases of birds, the use of antimicrobial drugs and the production of safe poultry products]. Saint Petersburg; 2018. p.236–246. (In Russ.).
- Pankratov SV, Sukhinin AA, Rozhdestvenskaya TN. Poultry respiratory syndrome. Etiology, diagnostics, measures of control and prevention. Poultry and chicken products. 2021;(4):34–36. (In Russ.). doi: 10.30975/20734999-2021-23-4-34-36
- Vatnikov Y, Shabunin S, Kulikov E, Karamyan A, Murylev V, Elizarov P, et al. The efficiency of therapy the piglets gastroenteritis with combination of Enrofloxacin and phytosorbent Hypericum perforatum L. International Journal of Pharmaceutical Research. 2020;12(Suppl.2):3064–3073. doi: 10.31838/ijpr/2020.sp2.373
- Sachivkina N, Vasilieva E, Lenchenko E, Kuznetsova O, Karamyan A, Ibragimova A, et al. Reduction in pathogenicity in yeast-like fungi by farnesol in quail model. Animals. 2022;12(4):489. doi: 10.3390/ani12040489
- Fisinin VI, Juravel NA, Miftakhutdinov AV. Methodology for determining the effectiveness of introducing new veterinary methods and tools in poultry farming. Veterinary medicine. 2018;(6):14–20. (In Russ.).
Supplementary files
 
				
			 
					 
						 
									 
									
 
  
  
  Email this article
			Email this article 










