Quantitative assessment of fetal blood flow in dogs
- Authors: Shumeyko A.V.1, Slesarenko N.A.1, Kolyadina N.I.1
- 
							Affiliations: 
							- Moscow state Academy of Veterinary Medicine and Biotechnology - MVA by K.I. Skryabin
 
- Issue: Vol 20, No 1 (2025): Therapeutic case of animal welfare
- Pages: 126-138
- Section: Morphology and ontogenesis of animals
- URL: https://agrojournal.rudn.ru/agronomy/article/view/20173
- DOI: https://doi.org/10.22363/2312-797X-2025-20-1-126-138
- EDN: https://elibrary.ru/IQUGGB
- ID: 20173
Cite item
Full Text
Abstract
The study aims to present quantitative features of fetal blood flow in dogs based on ultrasonography and ultrasonometry data to predict intrauterine fetal development. Based on the use of ultrasonography and ultrasonometry, the umbilical cord vessel resistance index in dogs was established. The advantages of the umbilical artery resistance index in comparison with other indices in assessing fetal maturity and fetal distress were revealed. The features of blood flow were established in normally developing fetuses and in fetuses with intrauterine pathologies. The developed methodology of a complex quantitative assessment of fetal blood flow in dogs is an effective tool for predicting the course of pregnancy, diagnosing intrauterine development pathologies, and making informed decisions regarding pregnancy management and parturition in dogs.
Full Text
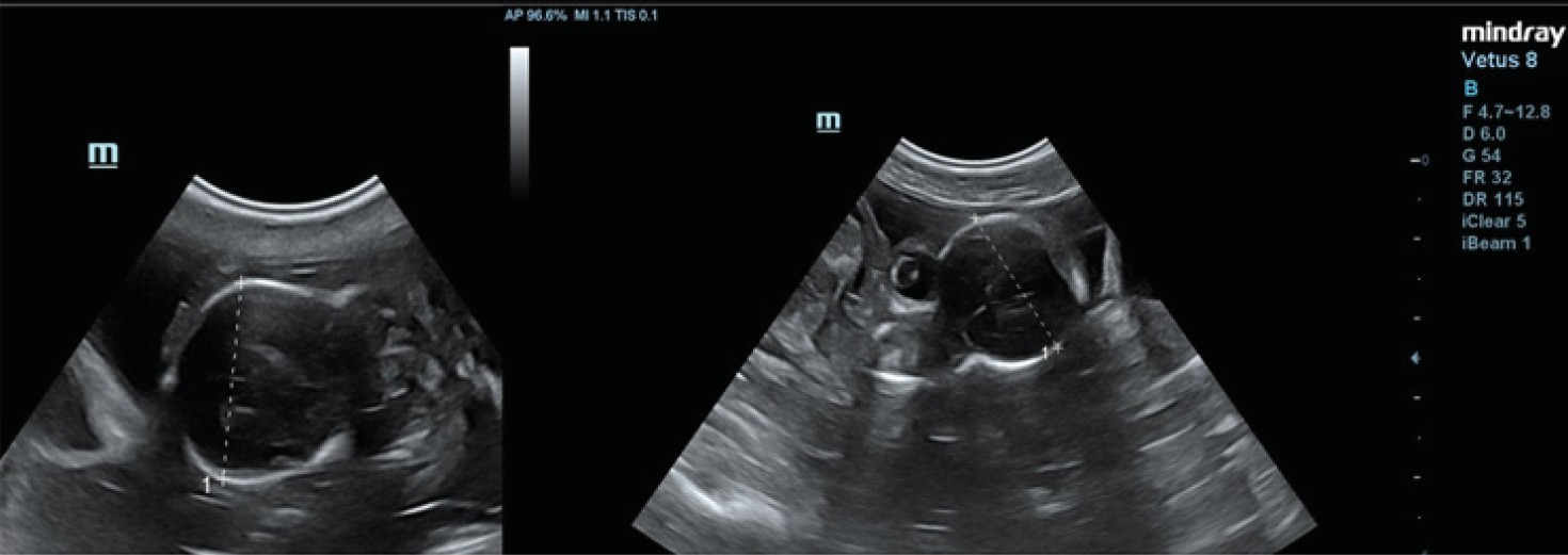
Fig. 1. Ultrasound image reflecting the biparietal diameter of a French bulldog on the 58th day of pregnancy
Source: compiled by N.I. Kolyadina, A.V. Shumeyko on the Mindray Vetus 8 Ultrasound Machine.
Fig. 2. The method of fetal heart rate monitoring
Source: compiled by N.I. Kolyadina, A.V. Shumeyko on the Mindray Vetus 8 Ultrasound Machine.
Fig. 3. Macromorphological picture of umbilical cord vessels (marked with arrows)
Source: compiled by A.V. Shumeyko at MDVC MVA
Fig. 4. Morphological pattern of umbilical cord vessels: а — sonogram; б — original gross specimen
Source: fig. 4a compiled by N.I. Kolyadina, A.V. Shumeyko on the Mindray Vetus 8 Ultrasound Machine; fig. 4b compiled by A.V. Shumeyko at MDVC MVA.
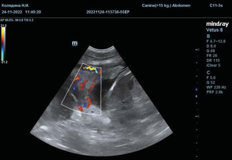
Fig. 5. Scanning of umbilical cord vessels in a dog fetus in color Doppler and B-mode. The numbers indicate the vessels of the arterial (2, 4) and venous (1, 3) beds
Source: compiled by N.I. Kolyadina, A.V. Shumeyko on the Mindray Vetus 8 Ultrasound Machine.
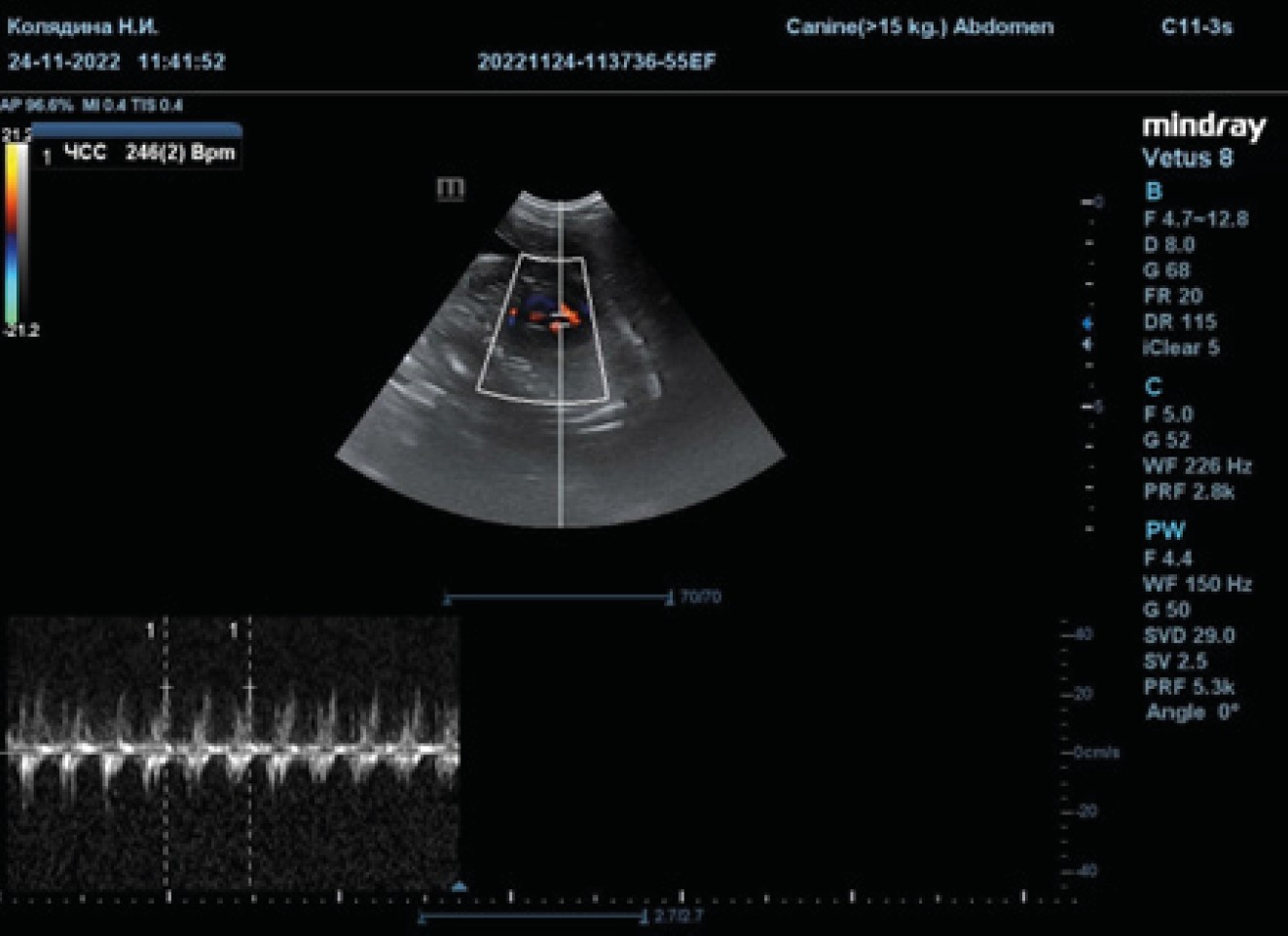
Fig. 6. The method of determining the umbilical artery resistance index (а) and a schematic drawing of the insonation angle (б)
Source: fig. 6a compiled by N.I. Kolyadina, A.V. Shumeyko on the Mindray Vetus 8 Ultrasound Machine; fig. 6b created by A.V. Shumeyko in Microsoft Paint.
Fig.7. Macromorphological pattern of the fetus and extra-embryonic structures
Source: compiled by A.V. Shumeyko at MDVC MVA.
Fig. 8. Ultrasound imaging of placental vessels in the CDI mode in a Boston Terrier female
Source: compiled by N.I. Kolyadina, A.V. Shumeyko on the Mindray Vetus 8 Ultrasound Machine.
Heart rate indicators in normally developing fetuses and in fetuses with pathologies detected by ultrasound on days 56–60, 61–63 of pregnancy
| Fetuses | Fetal heart rate in dogs | |||
| small breeds | medium breeds | |||
| at rest | during physical activity | at rest | during physical activity | |
| 56—60th days | ||||
| No identified pathologies | 221 ± 0.8 | 232 ± 1.1 | 210 ± 0.6 | 217 ± 0.6 | 
| With signs of fetal distress | 199 ± 0.2 | 202 ± 0.3 | 201 ± 0.3 | 203 ± 0.3 | 
| 61—63rd days | ||||
| No identified pathologies | 194 ± 0.2 | 210 ± 0.6 | 184 ± 0.1 | 203 ± 0.3 | 
| With signs of fetal distress | 170 ± 0.09 | 172 ± 0.08 | 172 ± 0.09 | 173 ± 0.09 | 
Source: compiled by A.V. Shumeyko at MDVC MVA.
Fig. 9. Diagram of changes in the umbilical artery resistance index at the end of pregnancy
Source: created by A.V. Shumeyko in PowerPoint.
About the authors
Anastasia V. Shumeyko
Moscow state Academy of Veterinary Medicine and Biotechnology - MVA by K.I. Skryabin
							Author for correspondence.
							Email: shumeykonastya1996@gmail.com
				                	ORCID iD: 0000-0001-6062-4526
				                	SPIN-code: 7383-2793
																		                								
Candidate of Biological Sciences, Assistant of the Department of Disease Diagnosis, Therapy, Obstetrics and Animal Reproduction
23 Academician Skryabina st., Moscow, 109472, Russian FederationNatalya A. Slesarenko
Moscow state Academy of Veterinary Medicine and Biotechnology - MVA by K.I. Skryabin
														Email: slesarenko2009@yandex.ru
				                	ORCID iD: 0000-0002-8350-5965
				                	SPIN-code: 8955-1670
																		                								
Doctor of Biological Sciences, Professor of the Department of Animal Anatomy and Histology named after Professor A.F. Klimov
23 Academician Skryabina st., Moscow, 109472, Russian FederationNatalia I. Kolyadina
Moscow state Academy of Veterinary Medicine and Biotechnology - MVA by K.I. Skryabin
														Email: nkoliadina@yandex.ru
				                	ORCID iD: 0000-0002-1330-0526
				                																			                								
Candidate of Veterinary Sciences, veterinarian - reproductologist of the Medical and Diagnostic Veterinary Center "MDVC MVA"
23 Academician Skryabina st., Moscow, 109472, Russian FederationReferences
- Gil EM, Garcia DA, Giannico AT, Froes TR. Use of B-mode ultrasonography for fetal sex determination in dogs. Theriogenology. 2015;84(6):875—879. doi: 10.1016/j.theriogenology.2015.05.020
- Ilyin EV. Diagnostics of ovarian diseases in veterinary and humane medicine. Izhevsk: Udmurt State Agricultural University; 2024. p. 117—120. (In Russ.). EDN: UXHGPI
- Goncharova AV, Nazimkina SF, Kostylev VA. Importance of ultrasonography in determining pregnancy dates in small breed dogs. Bulletin of Altai State Agricultural University. 2023;10(228):66—69. (In Russ.). doi: 10.53083/1996-4277-2023-228-10-66-69 EDN: KMLOZP
- Silva P, Maronezi MC, Padilha-Nakaghi LC, et al. Contrast-enhanced ultrasound evaluation of placental perfusion in brachycephalic bitches. Theriogenology. 2021;173:230—240. doi: 10.1016/j.theriogenology.2021.08.010 EDN: JEBNCU
- Shumeyko AV, Slesarenko NA, Kolyadina NI. Method for predicting the date of birth in a French bulldog. Collection of scientific papers of the thirteenth International Interuniversity Conference on Clinical Veterinary Medicine in the Partners. Moscow; 2024. p. 48—51. (In Russ.).
- Slesarenko NA, Kolyadina NI, Shumeyko AV, Shirokova EO. Patent No. 2812100 C1 Russian Federation, IPC A61D 99/00, A61B 8/08, A61B 6/00. Method for predicting the occurrence of dystocia in French bulldog dogs: No. 2022125434. Declared 2022 Sep 29; Published 2024 Jan 22. (In Russ.).
- Fedotov SV, Udalov GM, Kolyadina NI. Features of reproduction of service dogs in conditions of the Centralized Clinical Hospital. Veterinariya. 2015;(11):37—41. (In Russ.). EDN: VBBWTF
- Blanco PG, Huk M, Lapuente C, et al. Uterine and umbilical resistance index and fetal heart rate in pregnant bitches of different body weight. Animal reproduction science. 2020;212:106255. doi: 10.1016/j.anireprosci.2019.106255
- Orlandi R, Vallesi E, Boiti C, et al. Contrast-enhanced ultrasonography of maternal and fetal blood flows in pregnant bitches. Theriogenology. 2019;125:129—134. doi: 10.1016/j.theriogenology.2018.10.027
- Slesarenko NA, Shumeyko AV, Kolyadina NI. Disturbance of the fetus in prediction of dystocia in female dogs. Vestnik of Omsk SAU. 2022;4(48):173—179. (In Russ.). doi: 10.48136/2222-0364_2022_4_173 EDN: QGHOJL
- Blanco PG, Arias DO, Gobello C. Doppler ultrasound in canine pregnancy. Journal of Ultrasound in Medicine. 2008;27(12):1745—1750. doi: 10.7863/jum.2008.27.12.1745
- Zelck AB, Köhler C, Kiefer I. Bildgebende Diagnostik im Rahmen der Trächtigkeit beim Hund [Diagnostic imaging during pregnancy of the dog]. Tierarztliche Praxis. Ausgabe K, Kleintiere/Heimtiere. 2023;51(4):264—275. doi: 10.1055/a‑2147-4051 EDN: DIKILO
- Pestelacci S, Tzanidakis N, Reichler IM, Balogh O. Comparison of two-dimensional (2D) and three-dimensional (3D) ultrasonography for gestational aging in the early to mid-pregnant bitch. Reproduction in Domestic Animals. 2022;57(3):235—245. doi: 10.1111/rda.14045 EDN: NHKWIS
- Vieira CA, Bittencourt RF, Biscarde CEA, et al. Estimated date of delivery in Chihuahua breed bitches, based on embryo-fetal biometry, assessed by ultrasonography. Animal Reproduction. 2020;17(3): e20200037. doi: 10.1590/1984-3143‑ar2020-0037
- Xavier GM, Bittencourt RF, Planzo Fernandes M, et al. Evaluation of embryo-fetal biometry and its correlation with parturition date in Toy Poodle bitches. Reproduction in Domestic Animals. 2024;59(6): e14621. doi: 10.1111/rda.14621
Supplementary files
Source: compiled by N.I. Kolyadina, A.V. Shumeyko on the Mindray Vetus 8 Ultrasound Machine.
Source: compiled by N.I. Kolyadina, A.V. Shumeyko on the Mindray Vetus 8 Ultrasound Machine
Source: compiled by A.V. Shumeyko at MDVC MVA
Source: fig. 4a compiled by N.I. Kolyadina, A.V. Shumeyko on the Mindray Vetus 8 Ultrasound Machine; fig. 4b compiled by A.V. Shumeyko at MDVC MVA.
Source: compiled by N.I. Kolyadina, A.V. Shumeyko on the Mindray Vetus 8 Ultrasound Machine.
Source: fig. 6a compiled by N.I. Kolyadina, A.V. Shumeyko on the Mindray Vetus 8 Ultrasound Machine; fig. 6b created by A.V. Shumeyko in Microsoft Paint.
Source: compiled by A.V. Shumeyko at MDVC MVA.
Source: compiled by N.I. Kolyadina, A.V. Shumeyko on the Mindray Vetus 8 Ultrasound Machine
Source: created by A.V. Shumeyko in PowerPoint
 
				
			 
					 
						 
									 
									
 
  
  
  Email this article
			Email this article 

















